There is evidence from research and from personal testimonies, that low-carb, high fat diets (LCHF), can help with weight loss and with the management of various medical conditions. Many of those on high fat diets are fit and experience robust health, so what could go wrong?
The question being raised here is, what are the long term consequences of being on a high fat diet? It has been known for a long time that meat and other animal food consumption contribute to atherosclerosis, the narrowing of the arteries. Heart disease is the number one cause of death, taking nearly 700,000 lives in the United States each year, 1 in 5 deaths.
Will high fat diets, like Keto, or the Carnivore diet go down in history as just another fad and one that contributed to disease and reduced life expectancy?
It wouldn’t be the first time that the people were mislead on health and nutrition. In the 80’s fat was public enemy number one and many diets sought to eliminate it. It resulted in Americans gaining more weight, because drastically reducing fat content caused them to overeat on carbs. Then, the pendulum swung the other way and carbs were demonized, books like the “Grain Brain” became bestsellers.
For the sake of disclosure, I am on a near plant based diet, “the “98% Diet”, thus biased toward plant based. I’ve not been on a very low carb diet, like Keto, but I’m no stranger to fat. Growing up in Eastern Europe, I consumed copious amounts of meat and lard.
Living stateside, my breakfast had been bacon and eggs for many years. After cooking the bacon, I never drained the fat, or patted the bacon strips on paper towel, as some folks do. The result was that I wasn’t hungry until 3-4PM, I can see why people on high fat diets can lose weight.
A paper, published in 2010 by the Harvard School of Public Health on low-carb diets and all-cause mortality, describes the result of two cohort studies. The follow up continued for 26 years, it involved 85,168 women and 44,548 men.
“The animal low-carbohydrate score was associated with a higher all-cause mortality, cardiovascular mortality, and cancer mortality.”
“In contrast, a higher vegetable low-carbohydrate score was associated with lower all-cause and cardiovascular mortality.”
A study, published in Science, by UC Davis Health, in August, 2022, explains why food high in saturated fat may lead to plaque build up in arteries.
It suggests that consuming food rich in saturated fat and choline, a nutrient found in red meat, eggs and dairy products, increases the number of metabolites that build plaques in the arteries.
“Our study shows how a high-fat diet disrupts the bacterial balance in the gut and leads to the production of harmful substances implicated in cardiovascular diseases,”
– Andreas Bäumler, professor of microbiology and immunology | UC Davis .
A meta-analysis of 17 observational studies, published in 2013, found that low carbohydrate diets were associated with a higher risk of all-cause mortality. The authors said that although low-carb diets are effective in weight loss and may have favorable short-term effects on the risk markers of CVD, they are only nutritionally safe if the main source of the protein is plants.
“Our study did not find a cardiovascular benefit and supports their potential long-term health harm when such nutritional quality is not considered.”
“Low-carbohydrate diets tend to result in reduced intake of fiber and fruits, and increased intake of protein from animal sources, cholesterol and saturated fat, all of which are risk factors for mortality and CVD.”
Another study, published in the American Journal of Cardiology in 2019, concluded that those on low-carb diets were more at risk for arterial fibrillation. That is a heart arrythmia, that raises the risk of blood clots, strokes and heart failure. The study involved 13,852 participants over a 22.4 year follow up period.
It’s not just the heart they’re worried about either. A 2018 study, published in Lancet found that low-carb dieters who consumed large amounts of meat and dairy had a higher risk of early death compared to those who consumed carbs in moderation or who consumed mostly plant-based protein.
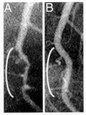
Below are angiograms, imaging of arteries, showing atherosclerosis, arterial blockages, that were reversed by being on plant based diets. The restriction of fat intake was key to reducing the plaque build up.

Coronary angiograms of the distal left anterior descending artery before (A) and after (B) 32 months of a plant-based diet without cholesterol-lowering medication, showing profound improvement.
Caldwell B. Esselstyn, Jr., MD
Cleveland Clinic Foundation

Coronary angiograms of right coronary artery before (left) and showing 30% improvement (right) following approximately 60 months of a plant-based diet and cholesterol-lowering medication.
Caldwell B. Esselstyn, Jr., MD
Cleveland Clinic Foundation
Anecdotal evidence of the potential harm to the cardiovascular system, from consuming excessive amounts of animal based, high fat foods, comes from my personal experience as well.
Heart disease, strokes and myocardial infarction were common in Hungary decades ago, several of my own relatives were impacted and some died. An ex co-worker, who I knew ate lots of meat, passed in his 40’s of a heart attack.
There were a number of positives at that time, from a health and nutrition perspective. There was no fast food, as we know it today and there weren’t many processed foods on the store’s shelves. We grew our own fruits and vegetables, everything was organic.
People were more active, personal transportation for most folks were walking, riding a bicycle, or taking the bus. Instead of sitting in front of a computer all day, as most people do today, physical work was more common.
The only thing that explains the high incidence of CVD, is the intake of high amounts of animal based foods, meat, fat, eggs and dairy.
Let’s go even further back in time. Some Scandinavian countries, like Norway began documenting deaths from heart disease from the early 19th Century. The curious thing that happened, during WWII, mortality from cardiovascular disease dropped.
The Nazis took away people’s farm animals, as a result more plant based and less animal foods were consumed. Then after the war, it increased once again, as life returned to normal.

My conclusion based on the presented evidence is, high fat diets should not be sustained long term. Plant based HF diets are safer, but those can also lead to plaque build up. A macro nutrient balance of 55-65% carbohydrates has been found to be ideal for cardiovascular health.
The whole food pyramid is a joke.
The four food groups — a joke
What I learned in school was something quite fifteenth.
*** and THAT is the truth!!!
LikeLike
you also need to be careful about consuming so called vegetable oils.
https://neonnairobigal.wordpress.com/2022/01/15/switching-to-healthy-oils-in-2022/
LikeLiked by 2 people
Thank you, do you like my post, https://www.asomlive.com/health/40-of-the-most-powerful-fat-burning-superfoods.html
LikeLike
Hello from the UK
Thank you for your article. It is worth bearing in the mind the problems with toxins in meat. This explains some of the issues I found.
https://alphaandomegacloud.wordpress.com/2022/11/19/sodium-nitrite-e250-the-poison-in-your-food-and-how-to-remedy-it/
LikeLiked by 1 person